Bezpłatne badania w kierunku gruźlicy w Olsztynie

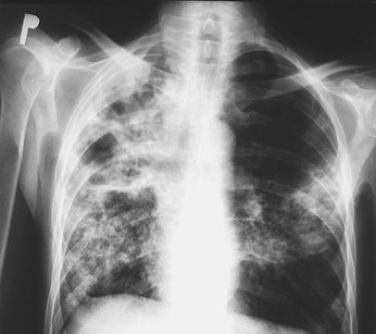
Samodzielny Publiczny Zespół Gruźlicy i Chorób Płuc w Olsztynie zaprasza wszystkich mieszkańców miasta na bezpłatne badania rtg klatki piersiowej oraz po zasięgnięcie porady lekarskiej. Akcja została zorganizowana z okazji Dni Walki z Gruźlicą i Chorobami Płuc.

Samodzielny Publiczny Zespół Gruźlicy i Chorób Płuc w Olsztynie zaprasza wszystkich mieszkańców miasta na bezpłatne badania rtg klatki piersiowej oraz po zasięgnięcie porady lekarskiej. Akcja została zorganizowana z okazji Dni Walki z Gruźlicą i Chorobami Płuc.


Gruźlica to powszechna i potencjalnie śmiertelna choroba zakaźna, wywoływana przez bakterię prątka gruźlicy. WHO (Światowa Organizacja Zdrowia) określiła gruźlicę jako globalne niebezpieczeństwo a Organizacja "Stop gruźlicy" stworzyła Globalny Plan Walki z Gruźlicą, którego celem jest ochrona przed gruźlicą 14 milionów ludzi między rokiem 2006 a 2015

 

Odporność organizmu na zachorowanie zależy od zastosowanych szczepień przeciwgruźliczych, ogólnego stanu zdrowia, odżywiania, stosowanych leków i alkoholizmu, czy chorób współistniejących (np. zakażenie HIV, cukrzyca).

 

Osoby, które odwiedzą szpital płucny w Olsztynie, oprócz porady lekarskiej i zdjęcia RTG płuc, będą mogły za darmo skorzystać z pomiaru cukru we krwi, oraz zmierzyć ciśnienie krwi.

Bezpłatne badania w kierunku gruźlicy odbędą się w piątek 3 grudnia 2010 w godzinach od 11.00 do 14.00 oraz w środę 8 grudnia 2010 w godzinach od 13.00 do 16.00. Rejestracja pod numerem telefonu 89 532 29 43.