Gdy zabraknie Ci tchu...

Nie można bagatelizować takich objawów, jak duszności czy poranne ataki kaszlu. Mogą być one bowiem zwiastunem poważnej choroby jaką jest przewlekła obturacyjna choroba płuc, która dotyka ok 2 mln Polaków.

Nie można bagatelizować takich objawów, jak duszności czy poranne ataki kaszlu. Mogą być one bowiem zwiastunem poważnej choroby jaką jest przewlekła obturacyjna choroba płuc, która dotyka ok 2 mln Polaków.

 


Przewlekła obturacyjna choroba płuc przez wiele lat może nie dawać żadnych objawów. Poznać ją można po znacznym zwężeniu dróg oddechowych - osoba chora nie jest w stanie wypchnąć do końca powietrza z płuc, a także ma problemy z jego nabraniem. Cierpiący na zwężenie dróg oddechowych odczuwają ucisk w klatce piersiowej, duszność i dość często mają świszczący oddech. 

 

Dlaczego ludzie cierpią na tę chorobę?

 

Za główną przyczynę jej rozwoju uważa się palenie papierosów - a więc wszyscy palacze bądźcie czujni. Dym papierosowy zawiera ponad 4 tys. silnie trujących związków, które trafiają do płuc. Płuca starają się obronić przed tymi związkami poprzez wytwarzanie większej ilości śluzu, równocześnie jednak część z nich blokuje ruch rzęsek i niszczy je, uniemożliwiając oczyszczanie płuc. Brak systematycznego oczyszczania doprowadza do powstania przewlekłego zapalenia oskrzeli, którego objawem jest ciągły kaszel. Trujące substancje, pochodzące z dymu osadzają się w wytwarzanym śluzie, który w sporej części jest przez człowieka odkrztuszany i usuwany, jednak część z nich zostaje w organizmie. A to już jest krótka droga do rozwoju obturacyjnej choroby płuc.

 

 

Jak diagnozować?


  • spirometria - pozwalająca sprawdzić czy nasze płuca są starsze niż nasz wiek kalendarzowy,
  • badanie poziomów gazu we krwi - tlenu i dwutlenku węgla,
  • pulsoksymetria - również mierząca zawartość tlenu we krwi poprzez specjalny czujnik,
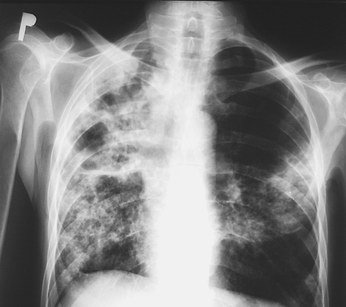
  • RTG płuc - na zdjęciu można rozpoznać np. rozedmę płuc lub przewlekłe zapalenie oskrzeli.

 

 

 

Źródło: poradnikzdrowie.pl / własne